Case lâm sàng: điều trị ung thư phổi không tế bào nhỏ giai đoạn IV di căn màng phổi tại Bệnh viện Ung bướu Thanh Hóa
Theo GLOBOCAN 2020 , trên thế giới, ung thư phổi đứng đầu về số ca mắc mới ở nam giới với hơn 1.400.000 ca, đứng thứ ba về số ca mắc mới ở nữ giới với gần 771.000 ca. Việt Nam cũng là nước có tỷ lệ mắc và tử vong do ung thư phổi rất cao. Năm 2020, tỷ lệ mắc mới và tử vong do ung thư phổi đứng thứ 2 ở cả 2 giới, với 14,4 % tỷ lệ mắc mới, 19,4 % tỷ lệ tử vong. Ung thư phổi thường gặp ở người lớn tuổi, 90 % các ca ung thư phổi được chẩn đoán sau tuổi 55. Tỷ lệ mắc bệnh và tử vong ở nam giới cao hơn gấp 2 lần so với ở nữ giới.
Ung thư phổi phần lớn được chẩn đoán ở giai đoạn rất muộn, đa phần ở giai đoạn bệnh đã lan rộng dẫn đến các phương pháp điều trị hạn chế, cũng như kết quả điều trị không cao.
Tuy nhiên với sự tiến bộ của hóa trị liệu trong ung thư phổi đã mang lại hiệu quả cao trong điều trị ung thư phổi , cải thiện chất lượng cuộc sống cho người bệnh.
Sau đây chúng tôi xin giới thiệu một ca lâm sàng về ung thư phổi không tế bào nhỏ giai đoạn IV di căn màng phổi được điều trị hóa chất tại Bệnh Viện Ung Bướu Thanh Hóa.
Ca lâm sàng:
Bệnh nhân nhân: Hoàng văn S, Nam, 47 tuổi
Vào viện ngày 22/9/2022 vì ho nhiều và đau ngực.
Diễn biến bệnh: Trước khi vào viện khoảng 1 tháng , có biểu hiện: Ho khan liên tục nhiều ngày kèm theo tức ngực, khó thở nhẹ, không sốt, ăn kém , gầy sút cân ( 4 kg/ 1 tháng).
Tiền sử: Hút thuốc lá nhiều năm trên 20 năm liên tục. Mất một mắt trái do TNGT
Khám bệnh: Thể trạng gầy, da niêm mạc bình thường. Có hạch thượng đòn trái KT 1,5 x 1 cm , cứng chắc. Phổi thông khí kém, hội chứng ba giảm phổi trái, khó thở nhiều. Nhịp tim đều
Cận lâm sàng:
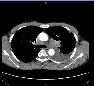
Hình ảnh CT ( 26/9/2022): Trước điều trị: Hình ảnh u thùy trên phổi trái, M màng phổi cùng bên. Xẹp thùy dưới phổi trái do tràn dịch. Hạch trung thất và hạch thượng đòn trái.
Siêu âm màng phổi: Dịch màng phổi trái 120 mm ( tư thế nằm )
Sinh thiết hạch thượng đòn : Ung thư biểu mô tuyến di căn hạch
Cellblock ( dịch màng phổi): Ung thư biểu mô tuyến di căn.
HMMD ( hạch thượng đòn): Ung thư biểu mô tuyến di căn hạch, nguồn gốc từ phổi ( NSCLC: Non small cell lung cancer Ung thư phổi không tế bào nhỏ)
Xét nghiệm đột biến gen: EGFR (-), ALK (-), ROS1 (-), KRAS (-), BRAF (-)
Xạ hình xương: Hiện tại chưa phát hiện tổn thương xương thứ phát trên xạ hình
Chẩn đoán: ung thư phổi không tế bào nhỏ T3N3M1a ( Giai đoạn IV ) di căn hạch thượng đòn, màng phổi.
Lựa chọn phương pháp điều trị: Bệnh nhân được điều trị hóa chất phác đồ paclitaxel carboplatin.
Kết quả sau 6 tháng điều trị:
Bệnh nhân tăng cân, ăn uống ngon miệng, đỡ đau ngực, đỡ đau ngực, đỡ khó thở, cải thiện chất lượng cột sống
Hình ảnh CT ngực trước và sau điều trị:
Trước điều trị: Hình ảnh u thùy trên phổi trái, M màng phổi cùng bên. Xẹp thùy dưới phổi trái do tràn dịch. Hạch trung thất và hạch thượng đòn trái.
Sau điều trị: Đáp ứng gần hoàn toàn, hình ảnh u thùy trên phổi trái sau trị ( giảm KT nhiều so với trước điều trị). Màng phổi hai bên không có dịch.
Qua ca lâm sàng trên cho thấy, hóa trị là một trong những vũ khí có vai trò quan trọng trong điều trị ung thư phổi.
Hiện nay tại Bệnh viện ung bướu Thanh Hóa có đầy đủ các loại hóa chất , áp dụng các phác đồ hóa chất theo đúng hướng dẫn của bộ y tế và các guideline hướng dẫn của tổ chức y tế Thế Giới nhằm đem lại hiệu quả cao nhất cho người bệnh.
BSCKI. Nguyễn Thị Vân Anh Trị xạ & YHHN
- Xạ trị điều biến liều (IMRT), Xạ trị điều biến thể tích (VMAT) và tiến bộ trong xạ trị
- Đốt sóng cao tần (RFA) – Giải pháp điều trị hiện đại, ít xâm lấn cho bệnh nhân nhân tuyến giáp lành tính
- Nút mạch điều trị u xơ tử cung– Giải pháp điều trị xâm lấn tối thiểu bảo tồn tử cung
- Dinh dưỡng cho bệnh nhân ung thư
- Osimertinib - Lựa chọn điều trị bổ trợ sau hóa xạ trị đồng thời trong ung thư phổi có đột biến Egfr
- Nội soi phế quản ống mềm gây mê giải pháp tiên tiến trong chẩn đoán và điều trị bệnh lý hô hấp tại Bệnh viện Ung bướu tỉnh Thanh Hóa
- Những ưu điểm của phẫu thuật nội soi tuyến giáp đường miệng
- Hành trình giảm đau – Nâng niu từng nhịp sống của người bệnh ung thư
- Nút mạch chọn lọc điều trị u máu gan dưới hướng dẫn chụp mạch số hóa xóa nền (DSA) tại Bệnh viện Ung bướu tỉnh Thanh Hóa
- “Bilan viêm” và vai trò của xét nghiệm Procalcitonin (pct) trong chẩn đoán nhiễm trùng sớm
Tin tức mới nhất
Các ngày trong tuần từ Thứ 2 đến Chủ nhật
Mùa đông: 7:15 - 11:30 | 13:15 - 17:00
Mùa hè: 7:00 - 11:30 | 13:30 - 17:00
Trực cấp cứu: 24/24
